Resultados reales, sonrisas
transformadas
Resultados reales, sonrisas
transformadas
Resultados reales, sonrisas transformadas
Resultados reales, sonrisas
transformadas
Cada sonrisa cuenta una historia. Aquí compartimos algunos de los
resultados logrados con nuestros pacientes, siempre priorizando la
salud, la función y la estética natural.
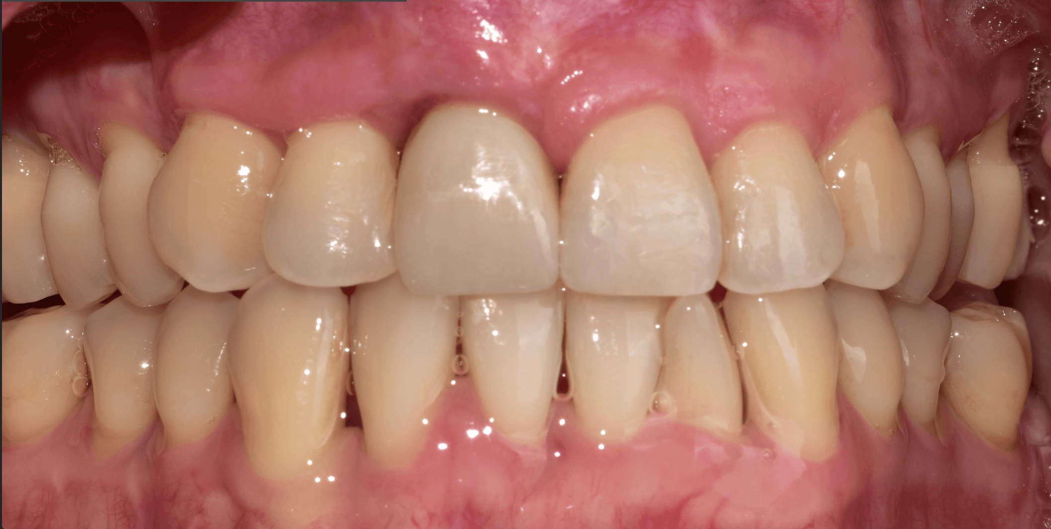
Remodelación cosmética de encías para crear una línea de sonrisa armoniosa y estéticamente agradable.




Before
Before
Before
Recesión severa
Recesión severa
Recesión severa
Recesión severa




After
After
After
Injertos de tejidos y cirugía plástica
Injertos de tejidos y cirugía plástica
Injertos de tejidos y cirugía plástica
Injertos de tejidos y cirugía plástica




Before
Before
Before




After
After
After
Implante dental en diente #8
Implante dental en diente #8
Implante dental en diente #8
Implante dental en diente #8
Tu Sonrisa Saludable Comienza Aquí
Atención periodontal especializada en Puerto Rico
Contáctanos
Agenda tu Consulta
Completa el formulario y nuestro equipo te contactará en menos de 24 horas.
Tu Sonrisa Saludable Comienza Aquí
Atención periodontal especializada en Puerto Rico
Contáctanos
Agenda tu Consulta
Completa el formulario y nuestro equipo te contactará en menos de 24 horas.
Tu Sonrisa Saludable Comienza Aquí
Atención periodontal especializada
en Puerto Rico
Contáctanos
Agenda tu Consulta
Completa el formulario y nuestro equipo te contactará en menos de 24 horas.
Tu Sonrisa Saludable Comienza Aquí
Atención periodontal especializada en Puerto Rico
Contáctanos
Agenda tu Consulta
Completa el formulario y nuestro equipo te contactará en menos de 24 horas.



